New York Association of Neuropathologists
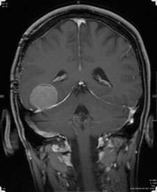
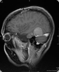
A 36-year-old man with no past medical history presented with seizures and headaches in 2004. He was found to have a right middle fossa tumor, for which he underwent two resections in 2006, with conflicting pathology reports. At that time, adjunctive therapy was advised, but the patient did not follow through. He re-presented with seizures, with recurrent tumor discovered on imaging. The neurological examination was intact, expect for right partial cranial fourth nerve palsy and right V1 to V3 numbness, which had been longstanding. The patient then had a right temporal craniotomy for resection of tumor. At surgery, the tumor was well defined and appeared to take origin from the inferior dura and the tentorium. All obvious tumor was removed, and the patient had an uneventful postoperative course. His neurological examination has been stable, and on postoperative MRI, there is no definitive residual tumor. The patient was discharged home in stable condition.
